TOTUL DESPRE RADIOGRAFIA DENTARĂ

Poate deja ai făcut o radiografie dentară sau încă nu, dar ştii prea bine că acestea sunt larg utilizate în cadrul tratamentelor stomatologice.
Ce este, mai exact, radiografia dentară?
Radiografia dentară reprezintă imortalizarea unei imagini a unuia, a mai multor sau a tuturor dinţilor tăi, în scopul depistării afecţiunilor dentare.
Nu este vorba de orice imagine, ci una care din interiorul dinţilor, care permite medicului stomatolog să observe lucruri ce sunt invizibile sau irelevante la consultul clinic.
Iar pentru că vederea noastră nu poate pătrunde în interiorul ţesuturilor, sunt utilizate radiaţiile X, care penetrează ţesuturile şi facilitează obţinerea de informaţii foarte preţioase.

Imaginea dintr-o radiografie dentară este alb-negru, albul reprezentând orice este radio-opac (nu permite trecerea razelor X), iar negrul orice este radio-transparent (prin care trec razele X).
Medicul va determina exact prezenţa cariilor, infecţiilor, pungilor parodontale, fracturilor sau chisturilor, ca zone închise la culoare acolo unde nu ar trebui să fie.
Lucrările protetice, implanturile, plombele, se văd ca zone foarte albe, mai albe decât dinţii naturali.
Orice tip de radiografie dentară este 2D, în două dimensiuni, nu de profunzime, 3D.
Pentru imagini 3D ale dinţilor există tehnologia tomografiilor dentare.
Când sunt necesare radiografiile dentare?

Radiografia dentară este un instrument indispensabil pentru medicii stomatologi.
Îşi găsește aplicabilitate în toate domeniile medicinei stomatologice, în numeroase situaţii:
- Medicul stomatolog îţi poate cere să faci o radiografie dentară dacă eşti pacient nou, pentru a putea evalua starea ta de sănătate dentară;
- Ca metodă de stabilire a unui diagnostic sigur;
- Înaintea oricărei intervenţii chirurgicale;
- Înaintea tratamentelor ortodontice, în scopul planificării minuțioase şi corecte;
- Regulat, dacă ai implanturi dentare;
- Pentru copii, atunci când trebuie monitorizată creşterea dinţilor definitivi;
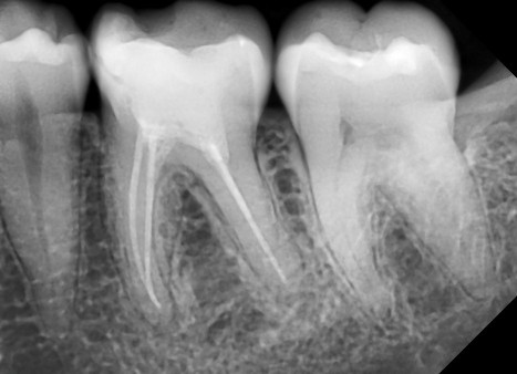
- Ca instrument de ghidare a tratamentelor endodontice;
- Pentru monitorizarea vindecării în urma anumitor intervenţii;
- După anumite tratamente complexe, pentru verificarea succesului acestora;
- Ca parte din pregătirea planurilor de reabilitare orală completă;
Poate ţi se pare exagerată utilizarea ei, alternativa nefolosirii ei poate fi mult mai periculoasă.
În afară de aspectul pierderii dinţilor şi frumuseţii zâmbetului, cariile nedepistate şi prin urmare netratate, sau tratamentele de canal incomplete duc la infecţii dentare, iar infecţiile dentare pot afecta serios întreg organismul, ducând chiar şi la septicemie.
Ce poate medicul afla din radiografia dentară?
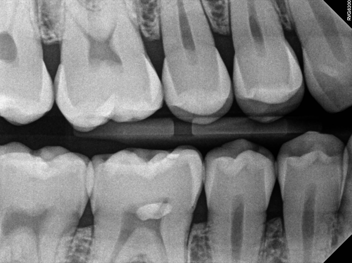
- Carii incipiente, ce pot fi tratate foarte uşor
- Amploarea reală a cariei care la suprafaţă pare mică
- Existenţa unor infecţii dentare
- Carii aflate sub lucrări sau plombe
- Numărul şi direcţia canalelor unui anumit dinte
- Fisuri ale smalţului
- Prezenţa chisturilor
- Existenţa unor dinţi incluşi în os
- Starea dinţilor aflaţi sub o lucrare dentară
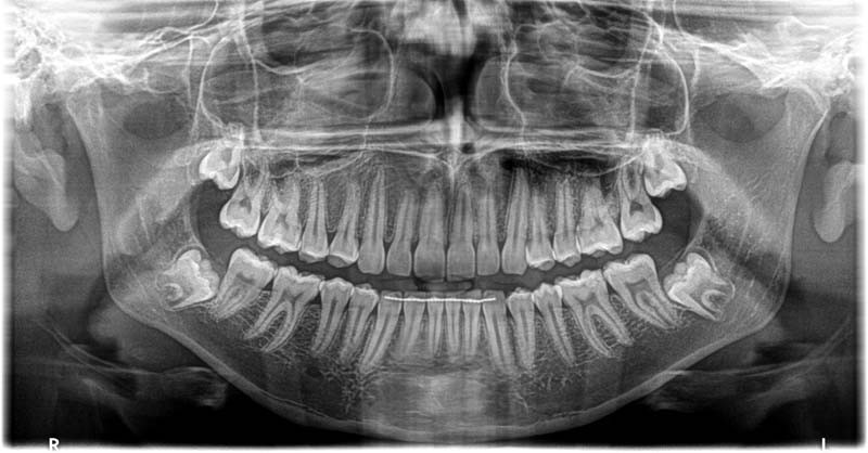
- Situaţia măselelor de minte
- Poziţiile rădăcinilor unui dinte
- Prezenţa bolii parodontale.
Tipuri de radiografii dentare
Radiografiile pot fi:
1. Intraorale (receptorul de imagine este în interiorul cavităţii bucale):
- Retroalveolară – precisă, dar pentru doar câţiva dinţi
- Bitewing – depistează cariile dintre dinţi si ocluzale, fisuri ale smalţului
- Ocluzală – pentru depistarea chisturilor, fisurilor mandibulare, abceselor
2. Extraorale (receptorul de imagine este în exteriorul cavității bucale)
- Panoramică – imagine de ansamblu a ambelor arcade
- Teleradiografie – imagine a întregului craniu, din faţă sau profil.



